RB Primary Antibody MP20032 [M7E4B8]
详情
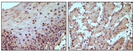
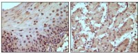
Application
| Application | FCM, WB, IHC, ELISA, ICC |
|---|---|
| ELISA | 1/10000 |
| ICC (Immunocytochemistry) | 1/100- 1/500 |
| FCM (Flow Cytometry) | 1/200 - 1/400 |
| IHC | 1/200 - 1/400 |
| WB (Cell Lysate) | 1/200 - 1/1000 |
| conjugations | N/A |
|---|---|
| host | mouse |
| antibody | Mouse Monoclonal antibody |
| modifications | N/A |
| reactivity | human, mouse, rat |
| presentation | 0.01% Sodium azide |
| purification | Protein A purified |
| storage | [-20°C] |
| target | RB |
| format | Liquid |
| clonality | [M7E4B8] |
| application | FCM, WB, IHC, ELISA, ICC |

![RB Primary Antibody MP20032 [M7E4B8]](https://mxbioscience.com/media/catalog/product/cache/2/image/200x79/9df78eab33525d08d6e5fb8d27136e95/m/p/mp20032ihc.jpg)